Serrûpel 2017 Tîrmeh

Arşîva mehane: Tîrmeh 2017

Ebadî: Em tankan naşînin Kurdistanê?!!

Serokwezîrê Îraqê Heyder Ebad, di axaftina xwe ya îro de lihemberî rojnamevanan got, ew ne ligel wê yekê ku referandum  li Kurdistanê çêbibe, ji...

Dijminê serxwebûna Kurdistanê ye û eger li Ewropa ba niha hatibû girtin

Televîzyona NRT ku ji aliyê Malikî û Îranê ve tê fînansekirin, ji dijminekî xerabtir li dijî serxwebûna Kurdistanê kar dike. Di rapirsiyeke dawîn de dinivisîne...
video

Keçeke Kurd ji Qamişlo di sefa 9 de yekemîn derket – Vîdyo

Îro li bajarê Hewlêrê xwendekarên yekem di sefa 9 û 12an de hatine xelatkirin. Keçeke Rojavayê Kurdistanê bi navê Aya Nebîl Hisên ku sefa 9...
video

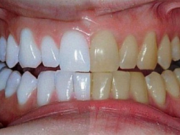
Bi vî awahî diranên xwe spî bike (Vîdyo)

Bi vî awahî diranên xwe spî bike (Vîdyo)

Hikûmeta Swêdê li dijî raya milletan e

Ako Mihemed Giştpirsiya gelê Kurdistanê ji bo demokrasiya cîhanê ceribandineke mezin e. Demokrasî di pêneseya herî zelal û sade de, azadiya derbirîn, biryardan û cîbicîkirina...

Televîzyona ARK hate sekinandin

Televîzyona ARK ku li ser frêkansa Zagros TV weşana xwe dikir û weşana wê taybet bû bi rojavayê Kurdistanê, li ser rûpela xwe ya...

“Tenê ev welat li dijî referandumê ye”

Endamê komîsyona Bilind ya Hilbijartin û referandumê Hoşyar Zêbarî got, tenê Îran li dijî Referanduma serxwebûna Kurdistanê ye, wekî din kesek ne li dijî...
video

Îbrahîm Biro behsa pêwendiyên ENKS-PYD û partiya Pêşmerû dike

Di vê hevpeyvînê de serokê ENKS behsa rewşa herî dawî ya siyasî dike.
video

Kakilo klîba Serxwebûnê derxist – vîdyo

Îmad Kakilo, hûn wî bi strana (Kesek nema li welat, pîrika Îmadê Kakilo bû ew jî hat), wî nas dikin, ew stran li ser...

Tirkiyê pasporta Feleknas Uca betal kir û qeşta bi pasporta almanî lê qedexe kir

Tirkiye pasaporta Parlamentera HDP Feleknas Uca betal kir û geşta bi pasaporta Almanî jî qedexe kir. Tirkiyê, li gor biryara Rewşa Awarte, pasaporta Feleknas Uca...
WP2Social Auto Publish Powered By : XYZScripts.com